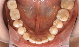
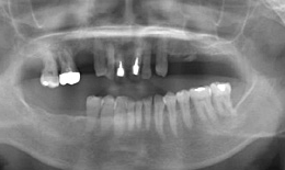
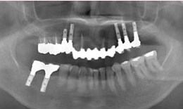
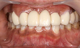
インプラント症例(23) 60歳 女性
治療方法
- 上顎
- 保存困難な歯を抜歯後、インプラントを5本埋め込んで、セラミックスクラウンを被せた
- 下顎
- インプラントを2本埋め込んで、セラミックスクラウンを被せた
費用
| インプラント |
フィクスチャー 7本 |
285,000×7=1,995,000円(税抜) |
上部構造
(ハイブリッドクラウン)7本 |
135,000×7=945,000円(税抜) |
上顎前歯 メタルボンドクラウン |
97,000×6=582,000円(税抜) |
リスク
- インプラントを埋め込む際、外科処置を伴うため術後に出血、腫脹、疼痛がある。
- インプラントが骨と結合するまで待たなければならないので、治療終了までに期間がかかる。
- インプラントは保険適用外の処置になるので、費用が保険治療と比べると高額になる。
- インプラントは天然歯と比べて構造が違うため、定期的に歯科医院でのプロフェッショナルケアが必要となる。
考えられる副作用
- 術後の腫脹や出血、疼痛、内出血が当たるかもしれません。
- 術後抗生物質を服用することになるので、その薬剤の副作用が当たるかもしれません。
- 偶発症として知覚鈍麻が起こることがあることもあるかもしれません。
治療の流れ