インプラント症例(21)75歳 男性

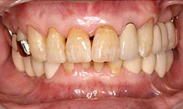
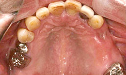
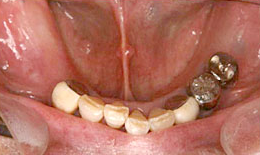
治療前

治療後

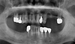
治療方法

上顎
インプラントを2本埋め込んで、セラミックスクラウンを被せた
下顎
インプラントを4本埋め込んで、セラミックスクラウンを被せた

費用

インプラント フィクスチャー6本 285,000×6=1,710,000円(税抜)
上部構造
(ハイブリッドクラウン)8本
135,000×8=1,080,000円(税抜)
右下・左下
ハイブリッドクラウン
67,000×4=268,000円(税抜)

リスク

  • インプラントを埋め込む際、外科処置を伴うため術後に出血、腫脹、疼痛がある。
  • インプラントが骨と結合するまで待たなければならないので、治療終了までに期間がかかる。
  • インプラントは保険適用外の処置になるので、費用が保険治療と比べると高額になる。
  • インプラントは天然歯と比べて構造が違うため、定期的に歯科医院でのプロフェッショナルケアが必要となる。

治療の流れ

  1. はじめに、順番にインプラントを入れていきます。
  2. その後、全部の歯を、仮歯に置き換えます。
  3. 全体で、上下左右のバランスをとりながら、しばらくの間使っていただいて、仮歯が割れたり、取れたりしないようになって落ち着いてから、最終的な被せに変え、最後にマウスピースを使っていただいて完成です。

考えられる副作用

  • 術後の腫脹や出血、疼痛、内出血が当たるかもしれません。
  • 術後抗生物質を服用することになるので、その薬剤の副作用が当たるかもしれません。
  • 偶発症として知覚鈍麻が起こることがあることもあるかもしれません。