インプラント症例(20) 52歳 男性

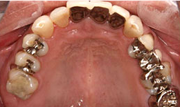
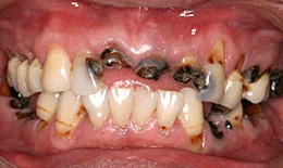
治療前

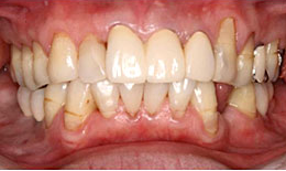
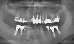
治療後

治療方法

下顎
保存困難な歯を抜歯後、インプラントを4本埋め込んで、セラミックスクラウンを被せた

費用

インプラント フィクスチャー4本 285,000×4=1,140,000円(税抜)
上部構造
(ハイブリッドクラウン)4本
135,000×4=540,000円(税抜)

リスク

  • インプラントを埋め込む際、外科処置を伴うため術後に出血、腫脹、疼痛がある。
  • インプラントが骨と結合するまで待たなければならないので、治療終了までに期間がかかる。
  • インプラントは保険適用外の処置になるので、費用が保険治療と比べると高額になる。
  • インプラントは天然歯と比べて構造が違うため、定期的に歯科医院でのプロフェッショナルケアが必要となる。

治療の流れ

  1. はじめに、悪い歯を抜いていきます。
  2. 順番にインプラントを入れていきます。
  3. 次に仮歯に変えていきます。
  4. 最終と置き換えて、マウスピースを作って完成です。

考えられる副作用

  • 術後の腫脹や出血、疼痛、内出血が当たるかもしれません。
  • 術後抗生物質を服用することになるので、その薬剤の副作用が当たるかもしれません。
  • 偶発症として知覚鈍麻が起こることがあることもあるかもしれません。