インプラント症例(3)46歳 女性

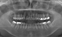
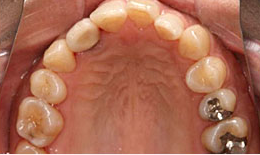
治療前

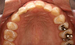
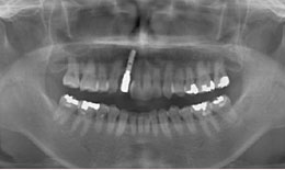
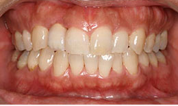
治療後

治療方法

上顎
保存困難な歯を抜歯後、インプラントを1本埋め込み、セラミックスクラウンを被せた

費用

インプラント フィクスチャー1本 285,000×1=285,000円(税抜)
上部構造(メタルボンドクラウン)1本 135,000×1=135,000円(税抜)

リスク

  • インプラントを埋め込む際、外科処置を伴うため術後に出血、腫脹、疼痛がある。
  • インプラントが骨と結合するまで待たなければならないので、治療終了までに期間がかかる。
  • インプラントは保険適用外の処置になるので、費用が保険治療と比べると高額になる。
  • インプラントは天然歯と比べて構造が違うため、定期的に歯科医院でのプロフェッショナルケアが必要となる。

治療の流れ

  1. 最初に右上の歯を抜きます。
  2. 歯茎が熟成するのを待って、インプラントを入れていきます。
  3. 歯を入れて、歯茎の高さを調整して完成です。

考えられる副作用

  • 術後の腫脹や出血、疼痛、内出血が当たるかもしれません。
  • 術後抗生物質を服用することになるので、その薬剤の副作用が当たるかもしれません。
  • 偶発症として知覚鈍麻が起こることがあることもあるかもしれません。