インプラント症例(1) 30代 女性| 宝塚インプラント(兵庫,大阪,京都)に治療のご相談ください。
初めての方
ご相談・診療予約
0797-78-0085
ネットでのお問合せ
お問合せフォーム
宝塚南口駅徒歩1分
当院へのアクセス
サイトマップ
インプラント治療
インプラント
症例集
患者様の声
ドクター紹介
当院について
無料相談
tel
mail
menu
インプラント治療
はじめての方へ
歯で人生は豊かに
インプラントとは?
メリット
入れ歯との違い
治療の種類
治療の手順
インプラント費用
アフターケア
受けられない方
症例集
専門用語集
インプラントQ&A
当院について
当院のご案内
アクセスマップ
ドクター紹介
私たちの自信
メディア紹介
グループ・提携医院
患者様の声
スタッフからのお便り
コラム
お口からアンチエイジング
無料相談
お問い合わせ
リンク集
サイトマップ
個人情報保護方針
当サイトについて
インプラント治療 症例集
HOME
インプラント治療
インプラント症例集
インプラント治療 症例1
インプラントについて
はじめての方へ
歯で人生は豊かに
インプラントとは?
インプラントのメリット
入れ歯との違い
治療の種類について
治療の手順について
インプラント費用
アフターケアについて
受けられない方
インプラント症例集
専門用語集
インプラントQ&A
インプラントコラム
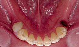
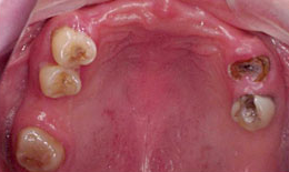
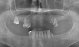
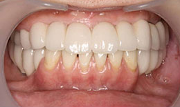
インプラント症例(1)30代 女性
治療前
治療後
治療方法
上顎
保存困難な歯を抜歯後、インプラントを7本埋め込み、セラミックスクラウンを被せた
下顎
保存困難な歯を抜歯後、インプラントを6本埋め込み、セラミックスクラウンを被せた
費用
インプラント
フィクスチャー13本
285,000×13=3,705,000円(税抜)
上部構造
(メタルボンドクラウン)18本
155,000×18=2,790,000円(税抜)
右上
メタルボンドブリッジ
90,000×4=360,000円(税抜)
リスク
インプラントを埋め込む際、外科処置を伴うため術後に出血、腫脹、疼痛がある。
インプラントが骨と結合するまで待たなければならないので、治療終了までに期間がかかる。
インプラントは保険適用外の処置になるので、費用が保険治療と比べると高額になる。
インプラントは天然歯と比べて構造が違うため、定期的に歯科医院でのプロフェッショナルケアが必要となる。
治療の流れ
最初、順番にインプラントを入れていきます。
インプラントが固まるまでの間は、しばらく入れ歯で我慢してもらいます。
インプラントが固まったところから順番に、仮歯に置き換えていきます。
お口全体が落ち着いてから最終の被せに変えていきます。
考えられる副作用
術後の腫脹や出血、疼痛、内出血が当たるかもしれません。
術後抗生物質を服用することになるので、その薬剤の副作用が当たるかもしれません。
偶発症として知覚鈍麻が起こることがあることもあるかもしれません。
初診ネット予約
初診の方もスムーズな診察
お電話
0797-78-0085
お問合せフォーム
24時間受付
無料相談
専門医がお答えします
治療の流れ